Hamoud HA*1, Qamar UA2
1Kulliyyah of Dentistry, 2Kulliyyah of Pharmacy
International Islamic University Malaysia
25200 Kuantan, Pahang DM, Malaysia
Keywords
Eurycoma longifolia Jack
Long-term use
Sprague-Dawley Rats
Pancreas
Histology
Abstract
In recent years, the use of Eurycoma longifolia Jack (ELJ) (Tongkat Ali) has spread dramatically in Southeast Asia especially Malaysia where it is widely used as aphrodisiac and anti-malarial agents. Interestingly, its consumption has become popular in daily life as beverage to enhance energy and stamina especially among males. However, its effect on the safety of vital organs of the body is not studied properly. Hence, the main objective of this study was to determine whether or not long-term use of ELJ has side effects on pancreas in rats. Three different concentrations of aqueous extract of ELJ were prepared and dissolved in distilled water, a total of thirty two Sprague-Dawley male rats were used and randomly divided into three test groups and control. The three test groups were given different doses (low dose 250 mg/kg bw, medium dose 500 mg /kg bw and high dose 1000 mg/kg bw) of aqueous extract of ELJ, respectively. Control group was given distilled water alone. Doses were given orally, daily for about 5 weeks. After 5 weeks, animals were sacrificed; whole pancreas tissues were obtained, fixed in 10 percent formaldehyde solution overnight for histological examination. Histological observations showed no signs of hemorrhage, fatty changes and normal pancreatic tissues in the three test groups when compared to normal. As a conclusion, the daily consumption of ELJ as beverage has no side effect on pancreatic tissue when taken in small quantity for long duration.
1.0 Introduction
Medicinal plants have been used since the time immemorial for medical purposes with respect to benefit mankind. Different kinds of plant extracts or derivatives are used in folklore healing systems such as Japanese (Kampo) medicine, Indian (Ayurveda) or Chinese herbal medicine, and are now widely practiced in fully developed countries including United States of America where their use is often integrated into conventional medicine to get more benefits. The therapeutic efficacy of several plant based medicines has been established, however, for many others this is not the case, often because the research has not been done properly. Eurycoma longifolia Jack (ELJ) (also known as Tongkat Ali or Pasak Bumi) is one of the plants of such category. Even though toxicity and safety evaluation studies have been carried out, still a major gap exists in providing scientific base for commercial utilization and clearance of the Tongkat Ali’s products with regard to consumer’s safety. Tongkat Ali is well known among various ethnic groups in Malaysia for treating disease and enhancing health and as such, it is sometimes referred to as Malaysian ginseng [1].
ELJ belongs to Simaroubaceae family is a tropical herbal plant found in several parts of Southeast Asia including Malaysia. It is an evergreen slow growing herbal plant, reaches a maximum height of 15-18 m and fruits after approximately 2-3 years of cultivation. However, it is generally believed that for complete maturation of the plant, it might take up to 25 years. But, for commercial usages, most of the times, roots are harvested after four years of cultivation. The fruits are green in color, 2-3 cm long and turn to dark red after ripening. The leaves are pinnate, spirally arranged, long (10-15 inches) with 10-30 leaflets. The flowers are produced in large panicles and the plant is dioecious with female and male flowers borne on different trees [2].
The plant parts have been traditionally used for its anti-malarial, aphrodisiac, anti-diabetic, antimicrobial and anti-pyretic activities, which have also been proved scientifically. The plant parts are rich in various bioactive compounds (eurycomanone, eurycomaoside, eurycolactone, eurycomalactone and pasakbumin-B) among which the quassinoids and alkaloids form a major portion. Certain quassinoids, isolated from ELJ have been reported to display variety of biological activities, including anti-tumor, anti-viral, anti-amoebic and anti-inflammatory activities [1-2]. It has been claimed to improve men’s strength and power during sexual activities [3]. A study conducted on rats showed that the oral administration of ELJ extract containing eurycomanone as a major compound was found to increase sperm quality and testosterone level [4]. The water extracts of ELJ has been reported to have a better market value as beverage and capsules [5]. In our previous study we found that water extract of ELJ caused no damage to hepatocytes in rats when given alone orally for few days [6]. Recently, a study conducted on rats reported that different fractions of ELJ (chloroform, methanol, water) could enhance the libido in sexually experienced male rats [7] and initiation of sexual performance of inexperienced male rats [8-9].
The long term consumption of ELJ as beverage among men and women for its vitality during copulation, and traditional uses in the management of various chronic diseases incited us to evaluate its effect on the safety of body organs. The root extract has been correlated with sleep disturbances, hot-headiness with facial flushing, pressure in the testicles in men, and hyperaggressiveness. However, there is a lack of scientific evidence for such deleterious effects [10]. Owing to the lack of published data on the efficacy of long term use of ELJ on some organs, we were prompted to evaluate its effect on the vital organs of the body. In the present study we aimed to determine if long term consumption of ELJ as beverage could have any deleterious effect on the pancreatic tissue.
2.0 Methods and Materials
The study was conducted after an approval from the Research Management Center, International Islamic University Malaysia (IIUM). 500 gm powdered aqueous extract of ELJ was purchased from MKI (M) Sdn. Bhd. No 469700V, which was thawed in distilled water. A total of thirty-two Sprague-Dawley rats (male) were obtained from the animal house (breeding-lab), University Putra Malaysia (UPM), Malaysia.
A total of thirty-two Sprague-Dawley rats were randomly divided into three test and one control group (n=8). The test groups were given ELJ aqueous extract at 250 mg/kg bw, 500 mg/kg bw and 1000 mg/kg bw, respectively. Control group was given distilled water only. Doses were given daily for 5 weeks using an appropriate needle. Animals were allowed free access to food and water daily for 5 weeks. After five weeks, animals were sacrificed, entire pancreatic tissues were collected. The specimens then underwent automated tissue processing for 24 h using a tissue processor (Leica TP-1020, Germany). Sections were embedded in paraffin and cut into 5μm slices. Each section was then stained with haematoxylin and eosin (H&E). The slides were examined by two different pathologist observers and both reading were blinded observation.
3.0 Results
3.1 Clinical observations
There was no evidence of infection in any of the animals before and during the experiment. All animals bore weight during the period of the experiment. The animals tolerated the oral dose from low to high (250, 500, 1000 mg/kg bw). During the entire period of study, no mortality among rats was observed. All rats appeared normal, active and healthy.
3.2 Histological examination of the pancreatic tissue
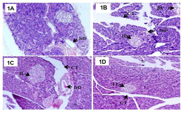
The histological appearance of pancreatic tissues in all groups is shown in figures 1A-1D. There was no clear evidence of haemorrhage, inflammation or fatty changes in the pancreatic tissues observed at low dose (250 mg/kg bw) of ELJ water extract administrated daily for 5 weeks (figure 1A). This group was found to be comparable with control group (distilled water alone) (figure 1D). The second group was orally administrated with medium dose (500 mg/kg bw) of ELJ water extract daily for 5 weeks, the pancreatic tissues (figure1B) appeared as normal as control. The third group received high dose (1000 mg/kg bw) of ELJ water extract daily for 5 weeks also showed normal pancreas (figure 1C), and found to be similar to control group. The islets of Langerhans, blood vessels, interlobular ducts and connective tissues of the pancreas in the test groups appeared as normal as control. There was no deleterious effect observed in any test group at any dose in the pancreatic tissues of any rat.

Fig. 1 Microscopic analysis by H & E (1A, 1B, 1C and 1D) staining of rat pancreatic tissue 5-week post oral administration of ELJ water extract. The rats were administrated with low dose (250 mg/kg bw) exhibited normal texture of pancreatic tissue (1A). The medium and high doses (500 mg & 1000 mg/kg, bw) treated groups showing no evidence of defect as well (1B & 1C). The pancreatic tissue structure in all groups appeared as normal as control (1D). There was no sign of degeneration, haemorrhage or fatty changes in all test groups. InD-intralobular duct IrD-inter lobular duct CT-connective tissue BV-blood vessel IL-islet of Langerhans. Original magnification×40.
4.0 Discussion
It is well established that ELJ is a traditional medicine that has been used for decades in Southeast Asian Nations (ASEAN) in the management of many disorders. Several studies on ELJ have been conducted on small animals with respect to find out its various biological effects. However, its efficacy on the safety of body organs is not adequately studied thoroughly. Currently, the levels of safety for the use of herbal drugs have become the center of attention now. Various herbal drugs in the market are prescribed for various infirmities without including any toxicity profile. Such prescriptions may pose serious or fatal problems for the patients who are dependent on such traditional medications. The major drawback of employing folklore herbal remedies is the lack of ample supporting scientific evidences on the levels of safety, quality and toxicity related to such herbal drugs. To our knowledge, at present, there are no available data in the literature on the safety and on the side effects or any deleterious effect of long term use of the products prepared from the ELJ plant. Furthermore, the plant extracts used for commercial preparations might not fulfill the standard criteria regarding the concentration of the active principles, as there might be wide variations with regard to age, growth conditions, environmental effect and plant source [9].
Our previous study indicated that water extract of ELJ showed moderate protection against hepatotoxicity induced by carbon tetrachloride [6]. Furthermore, ELJ is popularly consumed by people of Asian in the form of beverage especially for its energy enhancement and aphrodisiac effects. A hepato protective activity and its safe use as daily beverage if any would be an added advantage to its use. Traditionally, ELJ is used for its aphrodisiac, anti-fever effects as well as a general tonic [10]; it possesses anti-malarial activity [11] as well as exhibits potent anti-ulcer activity [12-13]. The study of long-term consumption of ELJ as daily beverage and its potential efficacy on the safety of some vital organs are not fully studied. Therefore, the current study was an attempt to find out the effect of ELJ water extract on pancreas in rats. In the current study, we targeted rat’s pancreas and the time of ELJ intake was increased 5 times than the previous work [6]. Our finding brought to mind another fact that ELJ alone is a non-toxic herb if taken orally in small quantity as beverage. Our previous study strongly supports the outcome of our present investigation that ELJ has no toxicity when given alone orally for 7 days [6]. The new results in the current study showed normal pancreatic tissues when examined under light microscope and compared to control (distilled water alone). Three different concentrations of ELJ, low, medium and high doses were given orally to three different groups of rats daily for 30 days. The results appeared normal when compared to control. On the other hand, the histological examination of rat’s pancreas after 30 days of ELJ intake did not show any sign of fatty changes, necrosis, haemorrhage or degeneration of pancreatic tissues in the test groups when compared to control. It is clearly shown in that the islets of Langerhans, intra-lobular duct, inter-lobular duct connective tissues and blood vessels appeared normal. All rats were active before and after ELJ daily gavage and had increased in body weight during the experiment, that reflects the health status of rats, safety of oral intake of ELJ and absence of toxicity of ELJ. During the experiment, all the rats were permitted adequate access to food and water and there was no hypodipsia or loss of weight. From our finding we strongly suggest that ELJ does not induce any anorexia and hypodipsia or loss of weight. During the entire period of experiments, no mortality among rats were observed. All rats appeared physically and mentally normal. These results clearly reveal the non-toxic characteristic of the aqueous extract of ELJ’s root.
5.0 Conclusion
From our findings it is strongly suggested that E. longifolia Jack has no evidence of side effects or any deleterious effect on the pancreatic tissues when used orally in small quantities for more than a month. Regular ELJ use at low doses does not appear to cause any toxic effect on pancreas and could be considered safe herbal supplement as far as the safety of pancreas in human being is concerned.
Acknowledgements
This study was financially supported by the Research Management Center (RMC), International Islamic University Malaysia, through endowment fund B (EDW B11-249-0727). Authors are also thankful to the Kulliyyah of Pharmacy, IIUM for providing all research facilities to accomplish this research.
References
Kuo PC, Shi LS, Damu AG, Su CR, Huang CH, Ke CH, et al. Cytotoxic and antimalarial β-carboline alkaloids from the roots of Eurycoma longifolia. J. Nat Prod. 2003; 66: 1324-7.
Zanoli P, Zavatti M, Montanari C, Barald M. Influence of Eurycoma longifolia on the copulatory activity of sexually sluggish and impotent male rat. J Ethnopharmacol. 2009; 126: 308-13.
Hooi HA and Hung SC. Effects of Eurycoma longifolia Jack on laevatorani muscle in both uncastrated and testosterone-stimulated castrated intact male. J Arch Pharm Res. 2001; 24(5): 437-40.
Kit-Lam C, Bin-Seng L, Chin-Hoe D. The effect of Eurycoma longifolia on sperm quality of male rat. Nat Prod Comm. 2009; 4(10): 1331-6.
Kaur I, Kumaresan S, Sarmidi MR. A study into the effect of laboratory scale processing parameters and scale up on Eurycoma longifolia water extract yield. Proceedings of the 17th Symposium of Malaysian Chemical Engineers, 29-30th December 2003, Penang; 2003: 294-9.
Hamoud HA, Bala YM, Emad N, Anuar K. The effect of Eurycoma longifolia Jack (Tongkat Ali) on carbon tetrachloride-induced liver damage in rats. Malaysian J Pharmaceutical Sci. 2011; 8(2): 1-18.
Ang HH and Sim MK. Eurycoma longifolia Jack enhances libido in sexually experienced male rats. Experimental Animal. 1997; 46(4): 287-90.
Ang HH, Cheang HS, Yusof AP. Effects of Eurycoma longifolia Jack (Tongkat Ali) on the initiation of sexual performance of inexperienced castrated male rats. Experimental Animal 2000; l49 (1): 35-38.
Rajeev B and Kari AA. Tongkat Ali (Eurycoma longifolia Jack): A review on its ethno-botany and pharmacological importance. J Fitoterapia. 2010; 81: 669-79.
Kuo PC, Shi LS, Damu AG, Su CR, Huang CH, Ke CH, Wu JB, Lin AJ et al. Cytotoxic and antimalarial beta-carboline alkaloids from the roots of Eurycoma longifolia. J Nat Prod. 2003; 66(10): 1324-27.
Tada H, Yasuda F, Otani K, Doteuchi M, Ishihara Y, Shiro M. New anti-ulcer quassinoids from Eurycoma longifolia. Eur J Med Chem. 1991; 26: 345-9.
Morita H, Kishi E, Takeya K, Itokawa H, Iitaka Y. Highly oxygenated quassinoids from Eurycoma longifolia. Phytochem. 1993; 33: 691-6.
Ang HH, Ngai TH, Tan TH. Effects of Eurycoma longifolia Jack on sexual qualities in middle aged male rats. Phytomed. 2003; 10: 590-3.
